【脂肪吸引】
<金額>200,000円~2,000,000円(税別)(税込価格¥220,000~2,200,000)※箇所、範囲によります。
<回数>1回
<リスク・合併症>
・腫れ:術後の腫れは約2週間程度で引いていきます。
・内出血:約2週間程度で正常な皮膚の色に戻ります。
・痛み:脂肪吸引をした部位は筋肉痛のような鈍痛が約1~2週間程度ありますが、徐々に消えていきます。
・術後圧迫:手術後最低1か月の圧迫が必要です。
・ほほアゴ裏脂肪吸引の場合、最初の24時間フェイスバンドが必要です。その後は1週間ねる時だけつけます。
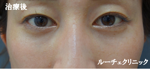
【クマ治療 切らない脱脂術】
目の下のクマのふくらみを内側から少しとります。
<金額>250,000円~400,000円(税別)(税込価格275,000~440,000)< 回数>1回
<リスク・合併症 >・むくみ:目の下のむくみが約1週間程度ありますが、徐々に引いていきます。
【ヒアルロン酸注射】
<金額>¥100,000~600,000円(税別)(税込価格:¥110,000~660,000)※本数によります。
<回数>1回
<リスク・合併症>
・内出血:まれに注入後内出血が出る可能性があります。直後からメイクで隠せます。
【脂肪吸引】
<金額>200,000円~2,000,000円(税別)(税込価格¥220,000~2,200,000)※箇所、範囲によります。
<回数>1回
<リスク・合併症>
・腫れ:術後の腫れは約2週間程度で引いていきます。
・内出血:約2週間程度で正常な皮膚の色に戻ります。
・痛み:脂肪吸引をした部位は筋肉痛のような鈍痛が約1~2週間程度ありますが、徐々に消えていきます。
・術後圧迫:手術後最低1か月の圧迫が必要です。
・ほほアゴ裏脂肪吸引の場合、最初の24時間フェイスバンドが必要です。その後は1週間ねる時だけつけます。
【脂肪吸引】
<金額>200,000円~2,000,000円(税別)(税込価格¥220,000~2,200,000)※箇所、範囲によります。
<回数>1回
<リスク・合併症>
・腫れ:術後の腫れは約2週間程度で引いていきます。
・内出血:約2週間程度で正常な皮膚の色に戻ります。
・痛み:脂肪吸引をした部位は筋肉痛のような鈍痛が約1~2週間程度ありますが、徐々に消えていきます。
・術後圧迫:手術後最低1か月の圧迫が必要です。
・ほほアゴ裏脂肪吸引の場合、最初の24時間フェイスバンドが必要です。その後は1週間ねる時だけつけます。
【切らない小鼻縮小】
鼻の穴の中を切開して小鼻を小さくする手術です。
<金額>360,000円~450,000円(税別)(税込価格¥396,000~495,000)
< 回数>1回
<リスク・合併症>
・鼻のつっぱり感:小鼻を少しつつままれている様な感じがありますが、約1か月で徐々になじんでいきます。
・笑いにくい:手術直後は笑うと小鼻がひきつる感じがありますが、約1か月で徐々に違和感がとれます。【切らない小鼻縮小】
鼻の穴の中を切開して小鼻を小さくする手術です。
【ヒアルロン酸注射】
<金額>99,000円~525,000円(税込)※個人差により異なります。※本数によります。 <回数>1回
<リスク・合併症>・内出血:まれに注入後内出血が出る可能性があります。直後からメイクで隠せます。
【脂肪吸引】
<金額>200,000円~2,000,000円(税別)(税込価格¥220,000~2,200,000)※箇所、範囲によります。
<回数>1回
<リスク・合併症>
・腫れ:術後の腫れは約2週間程度で引いていきます。
・内出血:約2週間程度で正常な皮膚の色に戻ります。
・痛み:脂肪吸引をした部位は筋肉痛のような鈍痛が約1~2週間程度ありますが、徐々に消えていきます。
・術後圧迫:手術後最低1か月の圧迫が必要です。
・ほほアゴ裏脂肪吸引の場合、最初の24時間フェイスバンドが必要です。その後は1週間ねる時だけつけます。
【脂肪吸引】
<金額>200,000円~2,000,000円(税別)(税込価格¥220,000~2,200,000)※箇所、範囲によります。
<回数>1回
<リスク・合併症>
・腫れ:術後の腫れは約2週間程度で引いていきます。
・内出血:約2週間程度で正常な皮膚の色に戻ります。
・痛み:脂肪吸引をした部位は筋肉痛のような鈍痛が約1~2週間程度ありますが、徐々に消えていきます。
・術後圧迫:手術後最低1か月の圧迫が必要です。
・ほほアゴ裏脂肪吸引の場合、最初の24時間フェイスバンドが必要です。その後は1週間ねる時だけつけます。
ヒアルロン酸注射】
<金額>¥100,000~600,000円(税別)(税込価格:¥110,000~660,000)※本数によります。
<回数>1回
<リスク・合併症>
・内出血:まれに注入後内出血が出る可能性があります。直後からメイクで隠せます。
脱脂術+コンデンスリッチファット脂肪注入によるクマ治療】
<金額>500,000円~800,000円(税別)< 回数>1回
<リスク・合併症 >
・むくみ:目の下のむくみが約1週間程度ありますが、徐々に引いていきます。
・内出血:内出血が出た場合は約1~2週程度で消えていきます。メイクでカバーできます。内出血を早く引かせるレーザーのご用意もありますので、ご希望の場合はご相談下さい。
ルーチェクリニックではLINEで予約を行うことができます。
以下のQRコードをスキャンして、友達に追加してください。
登録後メッセージにて「初診」もしくは「再診」と送信してください。

扫描下面的二维码, 关注我们的微信账号并直接联系我们。

Scan the QR code below to follow our
WhatsApp account and contact us directly
